Precision, Innovation, and Smile Perfection
Discover our high-quality dental prosthetic solutions in a modern, fully-equipped laboratory. Our team of experts accompanies you to create perfect smiles with precision and innovation.
Advanced Technology
We use the most advanced technologies to offer you precise, durable and aesthetic prostheses. CAD/CAM systems, pressed ceramics, monolithic zirconia - crafted with cutting-edge precision.
Ceramic Expertise
From feldspathic ceramics to lithium disilicate, through full zircon and dental hybrids. Each piece is designed with exceptional craftsmanship and technical excellence.
Specialties We Offer
Advanced dental laboratory solutions that blend precision engineering and artisanal finishing—crafted for strength, longevity, and naturally beautiful results.
Ceramic on Metal
Porcelain fused to a robust metal substructure—reliable longevity with a natural enamel-like finish. Ideal for posterior crowns and bridges.
Ceramic on Zircon
Layered porcelain over zirconia core—high strength with superior translucency for lifelike esthetics. Great for anterior restorations.
Pressed Ceramic
Heat-pressed glass-ceramics—excellent marginal fit, shade stability, and wear resistance. Suited for inlays, onlays, and single crowns.
Full Zircon
Monolithic zirconia—maximum fracture resistance and biocompatibility. Recommended for load-bearing areas and long-span bridges.
Zircon-Based Veneer
Custom veneers on zirconia substructures—balance of strength and esthetics for durable smile makeovers.
Empress-Based Veneer
High-esthetic glass-ceramic veneers—natural translucency and enamel texture with minimal tooth preparation.
Advanced Ceramic & Prosthetic Solutions
Located in Tangier, Bright Dental Lab specializes in precision ceramic restorations using advanced materials including lithium disilicate, feldspathic ceramics, full zircon, dental hybrids, and composite resins. Our commitment to "Precision, innovation, and Smile perfection" drives every restoration we craft.

Our Dental Laboratory Specialties
Explore our comprehensive range of dental prosthetic solutions, designed with cutting-edge technology and expert craftsmanship to meet the highest standards of precision, durability and aesthetics.

Lithium Disilicate
Pressed ceramic offers unmatched natural aesthetics through its translucency and mimetic color, while ensuring excellent biocompatibility and reliable mechanical resistance for durable and aesthetically pleasing restorations.
- Natural translucency
- Excellent biocompatibility
- Reliable mechanical strength

Feldspathic Ceramic
Feldspathic ceramic on refractory is the art of sculpting light on an invisible support — to restore nobility to every smile.
- Invisible support
- Noble aesthetics
- Light sculpting

Full Zirconia
Full zirconia combines brute strength with elegance: a prosthetic tooth born to last, never sacrificing the smile.
- Maximum strength
- Preserved elegance
- Exceptional durability

Pressed Ceramic
Precision pressed ceramic restorations offering excellent fit, superior aesthetics and remarkable durability.
- Perfect adaptation
- Superior aesthetics
- Durable materials
Courses, Conferences & Masterclasses
Learn from leading masters and our laboratory team—practical, up-to-date content designed to elevate your clinical and lab outcomes.

Masterclass: Non-Invasive / Minimal-Invasive Veneers
Exclusive two-day training at Bright Dental Lab (Tangier)
Hands-on focus on modern non-prep and minimal-prep veneer protocols, case selection, digital workflow, and finishing for predictable esthetics.

Conference: Aesthetic and Scientific Innovations in Dentistry
Cutting-edge Aesthetics & Scientific Innovation
Exploring the synergy between function and esthetics in modern prosthetics—materials, layering concepts, and CAD/CAM strategies.

Ergonomics in the Dental Laboratory – Morocco Dental Expo
Morocco Dental Expo: Optimizing Lab Ergonomics
How workspace design and posture impact precision, health, and productivity. Practical tips to structure benches, lighting, and workflows.
Meet OurLaboratory Director
A detail-driven dental technician leading Bright Dental Lab with precision, craftsmanship, and an unwavering commitment to modern prosthetic excellence.

Meriem Amerhan
Dental Technician
& Laboratory Director
Professional Profile
Excellence in Dental Ceramics
Certified dental ceramist since June 2016, Meriem has trained through multiple workshops with world-renowned technicians. She is capable of overseeing the entire laboratory workflow—from receiving impressions to packaging—handling processes and challenges with a disciplined, quality-first approach.
Education
Certified Dental Ceramist, 2016
Workshops
Multiple trainings with world-renowned ceramists
Languages
French (Good), Arabic (Good), Spanish (Good)
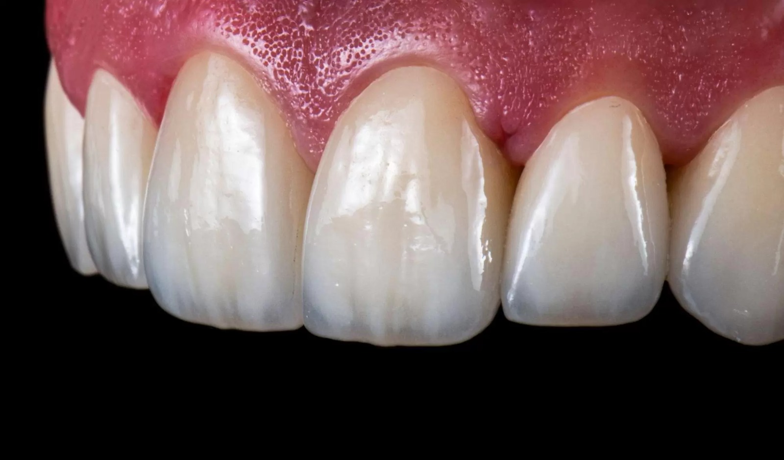
Products & Craftsmanship
A selection of cases crafted at our lab—showcasing precision, materials, finish quality, and esthetics.










Get in Touch with Us
Whether you’re a dental professional seeking lab support or have general inquiries, our team is ready to assist you with precision and care.
Send Us a Message
Contact Information
Address
Bright Dental Lab
Tangier, Morocco
Phone
+212 5 31 98 98 98
contact@brightdentallab.ma
Opening Hours
Monday – Friday: 9:00 – 18:00
Saturday: 9:00 – 13:30
Sunday: Closed